Wissenschafter*innen der Universität Wien und der Universität für Bodenkultur Wien gingen der Frage nach, ob die biologische Wasserstoffproduktion mit einem speziell dafür maßgeschneiderten Konsortium von Mikroorganismen deutlich über die theoretische Barriere – dem sogenannten Thauer-Limit – von 4 Mol H2 pro Mol Glukose gesteigert werden kann. Die biologische Wasserstoffproduktion mit fermentativen Mikroorganismen wurde bereits 1901 in Reinkulturen nachgewiesen, jedoch konnte seitdem die Ausbeute des Wasserstoffs nicht über das Thauer-Limit angehoben werden.
Optimales Verhältnis von Bakterien führt zu höherer Wasserstoffausbeute
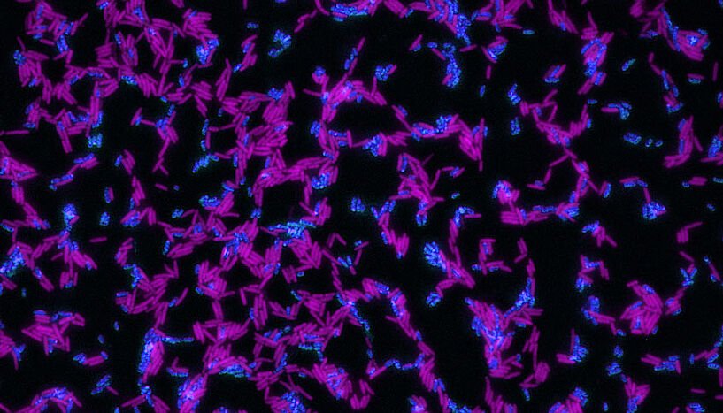
Bereits in einer früheren Studie haben die Wissenschafter*innen zwei Bakterien identifiziert, die eine hohe Wasserstoffproduktionsrate sowie eine hohe Wasserstoffausbeute aufwiesen: das fakultativ anaerobe Bakterium Enterobacter aerogenes und das strikt anaerobe Bakterium Clostridium acetobutylicum. Jetzt hat das Team unter der Leitung von Simon Rittmann vom Department für Funktionelle und Evolutionäre Ökologie der Universität Wien untersucht, ob ein auf dem Reißbrett entworfenes künstliches mikrobielles Ökosystem dieser beiden vielversprechenden Bakterien das Thauer-Limit zu übertreffen vermag.
Dazu wurde zuerst ein Wachstums- und Nährmedium entwickelt, in dem die Organismen optimal wachsen und Glukose verwerten können. Zudem untersuchten die Wissenschafter*innen, welches Verhältnis der beiden Bakterien zueinander die höchste Wasserstoffproduktion sowie die höchste Wasserstoffausbeute erzielen kann. Das erstaunliche Ergebnis der Untersuchung war, dass ein maßgeschneidertes mikrobielles Konsortium dieser beiden Bakterien im Verhältnis 1:10.000 (E. aerogenes : C. acetobutylicum) eine Wasserstoffausbeute von 5,6 Mol H2 pro Mol Glukose erzielt, was 40% über dem Thauer-Limit liegt.
Mikroorganismen für ökologische Energiegewinnung nutzen
Die Untersuchungen der Wissenschafter*innen sind die Grundlage für die Nutzung von Mikroorganismen bei der biotechnologischen Produktion von gasförmigen Biokraftstoffen wie Wasserstoff oder Methan. Zudem könnten die Ergebnisse der Studie zu einem Umbruch in der Nutzung von Mikroorganismen als Zellfabriken bei der Erzeugung von Wasserstoff aus nachwachsenden Rohstoffen bedeuten, wodurch die Biowasserstoffproduktionsindustrie zu einem Eckpfeiler der europäischen Wasserstoffinitiative werden kann.
Die von den Wissenschafter*innen erstellte Blaupause des Designs und der Herstellung von maßgeschneiderten mikrobiellen Ökosystemen könnte auch für die Produktion von anderen bio-basierten Produkten – wie Bioplastik, Biopharmazeutika – oder für die Etablierung von stabilen mikrobiellen Biozönosen für spezielle medizinische Anwendungen genutzt werden.
Universität Wien
Originalpublikation:
İpek Ergal, Oliver Gräf, Benedikt Hasibar, Michael Steiner, Sonja Vukotić, Günther Bochmann, Werner Fuchs & Simon K.-M. R. Rittmann (2020): Biohydrogen production beyond the Thauer limit by precision design of artificial microbial consortia. Communications Biology. DOI: 10.1038/s42003-020-01159-x





