Coronaviren verbreiten sich vor allem durch die Luft. Wenn eine infizierte Person spricht, hustet, niest oder lacht, scheidet sie mit ihrer Atemluft Tröpfchen mit Viren aus. So können die Erreger in die Atemwege anderer Menschen gelangen und sie anstecken. Ein Berliner Forschungsteam will das Virus genau dort bekämpfen, wo es zuerst angreift: an den Schleimhäuten von Nase, Mund, Rachen und Lunge. Zu diesem Zweck haben die Wissenschaftler*innen einen nasal zu verabreichenden, abgeschwächten Lebendimpfstoff gegen SARS-CoV-2 entwickelt. In der aktuellen Ausgabe des Fachjournals „Nature Microbiology“ beschreibt das interdisziplinäre Team, wie dieser abgeschwächte Lebendimpfstoff eine bessere Immunität vermittelt als Impfstoffe, die in den Muskel gespritzt werden.
Bereits im Herbst vergangenen Jahres wurden zwei Präparate zur Impfung über die Nase in Indien und China zugelassen. Sie beruhen auf abgeschwächten Adenoviren, also Viren, die unter anderem Atemwegs- oder Magen-Darm-Erkrankungen auslösen, sich selbst aber nicht mehr oder nur noch schlecht vermehren und somit keine Krankheit verursachen. Weitere nasale Lebendimpfstoffe befinden sich weltweit in der Entwicklung und Erprobung.
Schützt dort, wo der Infekt beginnt
Die Vorteile eines Impfstoffs in Form eines Nasensprays gehen weit darüber hinaus, dass Menschen mit Angst vor einer Spritze aufatmen können. Wird ein Impfstoff gespritzt, baut sich die Immunität vor allem im Blut und über den ganzen Körper verteilt auf. Das bedeutet aber, dass das Immunsystem Coronaviren im Ernstfall erst verhältnismäßig spät entdeckt und bekämpft – denn diese dringen über die Schleimhäute der oberen Atemwege in den Körper ein. „Genau dort benötigen wir eine lokale Immunität, wenn wir ein Atemwegsvirus frühzeitig abfangen wollen“, sagt Co-Letztautor der Studie Dr. Jakob Trimpert, Tiermediziner und Arbeitsgruppenleiter am Institut für Virologie der Freien Universität Berlin.
„Nasale Impfstoffe bekommen das wesentlich besser hin als Vakzine, die injiziert werden und die Schleimhäute nur schwer oder gar nicht erreichen“, betont Dr. Emanuel Wyler, ebenfalls Co-Letztautor. Er erforscht das Coronavirus seit Ausbruch der Pandemie in der Arbeitsgruppe „RNA-Biologie und Posttranscriptionale Regulation“ unter der Leitung von Professor Markus Landthaler am Berliner Institut für Medizinische Systembiologie des Max Delbrück Center (MDC-BIMSB).
Im Idealfall regt ein nasaler Lebendimpfstoff direkt vor Ort die Bildung von Antikörpern, Immunglobulinen A (IgA), an und lässt damit eine Infektion gar nicht erst zu. IgA ist das am häufigsten vorkommende Immunglobulin in den Schleimhäuten der Atemwege. Es besitzt die Fähigkeit, Krankheitserreger zu neutralisieren, indem es sich an sie bindet und sie so daran hindert, Atemwegszellen zu infizieren. Gleichzeitig stimuliert die Impfung auch systemische Immunreaktionen, was insgesamt zu einem wirksamen Schutz vor einer Infektion beiträgt.
„Ähnlich wie Antikörper in der Schleimhaut, so sind auch im Lungengewebe ansässige T-Gedächtniszellen von Nutzen. Diese weißen Blutkörperchen können sich an Krankheitserreger erinnern und verbleiben nach einer Infektion im jeweiligen Gewebe. Ihre Positionierung in der Lunge ermöglicht es ihnen, schnell auf Krankheitserreger zu reagieren, die über die Atemwege eindringen“, sagt Dr. Geraldine Nouailles, Immunologin und Arbeitsgruppenleiterin an der Klinik für Pneumologie, Beatmungsmedizin und Intensivmedizin der Charité. Die Co-Erstautorin verweist auf eine Beobachtung, die das Team im Rahmen der Studie machen konnte: „Wir konnten nachweisen, dass es bei vorangegangener intranasaler Impfung auch zu einer verstärkten Reaktivierung dieser lokalen Gedächtniszellen im Falle einer SARS-CoV-2-Infektion kommt. Darüber haben wir uns natürlich besonders gefreut.“
Lokale Immunität verhindert Virusbefall
Die Wirkung des neu entwickelten nasalen COVID-19-Impfstoffs testeten die Wissenschaftler*innen an Hamstermodellen, die Trimpert und sein Team bereits zu Beginn der Pandemie an der Freien Universität Berlin etabliert haben. Die Tiere sind derzeit der wichtigste nicht transgene Modellorganismus für COVID-19, da sie sich mit denselben Virusvarianten wie Menschen infizieren lassen und ähnliche Krankheitssymptome entwickeln. Nach einer zweimaligen Gabe des Impfstoffes konnte sich das Virus im Modellorganismus nicht mehr vermehren. „Das Immungedächtnis wurde sehr gut angeregt, und die Schleimhäute waren aufgrund der hohen Antikörperkonzentration sehr gut geschützt“, erklärt Jakob Trimpert. Auch die Übertragbarkeit des Virus könnte auf diese Weise deutlich reduziert werden.
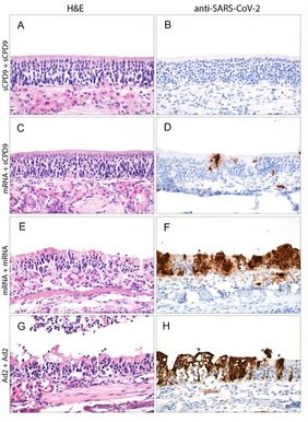
Darüber hinaus verglichen die Wissenschaftler*innen die Wirksamkeit des abgeschwächten Lebendimpfstoffes mit der von intramuskulär injizierten Impfstoffen. Dafür impften sie die Hamster entweder zweimal mit dem Lebendimpfstoff, einmal mit dem mRNA- und danach mit dem Lebendimpfstoff, oder zweimal mit einem mRNA- oder Adenovirus-basiertem Impfstoff. An Gewebeproben der Nasenschleimhaut und Lunge überprüften sie dann, wie stark bei einer anschließenden Infektion mit SARS-CoV-2 die Viren die Schleimhautzellen noch angreifen konnten. Außerdem bestimmten sie das Ausmaß der Entzündungsreaktion mithilfe der Einzelzellsequenzierung.
„Der abgeschwächte Lebendimpfstoff schnitt in allen Parametern besser ab als die Vergleichsimpfstoffe“, fasst Emanuel Wyler zusammen. Ausschlaggebend dafür dürfte sein, dass der nasal verabreichte Impfstoff eine Immunität direkt an der Eintrittspforte des Virus aufbaut. Außerdem enthält der Lebendimpfstoff alle Virusbestandteile und nicht nur das Spike-Protein, wie es beim mRNA-Impfstoff der Fall ist. Spike ist zwar das wichtigste Antigen des Virus – doch das Immunsystem kann das Virus darüber hinaus an ungefähr 20 weiteren Proteinen erkennen.
Besser als herkömmliche Impfstoffe
Den besten Schutz vor dem SARS-Coronavirus 2 konnte eine zweifache Impfung über die Nase erzielen, gefolgt von der Kombination aus einer Injektion des mRNA-Impfstoffes in den Muskel und dem anschließend nasal verabreichten Lebendimpfstoff. „Das könnte den Lebendimpfstoff besonders als Booster interessant machen“, sagt Co-Erstautorin der Studie Julia Adler, Tierärztin und Doktorandin am Institut für Virologie der Freien Universität Berlin.
Das Prinzip der abgeschwächten Lebendimpfstoffe ist alt und kommt etwa bei der Masern- oder Röteln-Impfung zum Einsatz. Früher allerdings erzeugten Wissenschaftler*innen die Abschwächung zufällig, indem sie mitunter jahrelang auf Mutationen gewartet haben, die ein abgeschwächtes Virus hervorbrachten. Die Berliner Forschenden hingegen haben den genetischen Code der Coronaviren gezielt verändert. „So wollen wir verhindern, dass die abgeschwächten Viren zu einer aggressiveren Variante zurückmutieren“, erklärt Dr. Dusan Kunec, Wissenschaftler am Institut für Virologie der Freien Universität Berlin und ebenfalls Co-Letztautor. Der maßgebliche Mitentwickler des Impfstoffes betont: „Unser Lebendimpfstoff ist also sicher und kann auf neue Virusvarianten zugeschnitten werden.“
Als nächstes stehen Sicherheitsprüfungen an: Die Forschenden arbeiten dafür mit der RocketVax AG zusammen, einem Schweizer Start-up mit Sitz in Basel. Das Biotech-Unternehmen entwickelt den abgeschwächten Lebendimpfstoff gegen SARS-CoV-2 weiter und bereitet eine klinische Phase-1-Studie im Menschen vor. „Wir freuen uns sehr, dass wir mit RocketVax eine Vorreiterrolle bei der Entwicklung und Herstellung des attenuierten SARS-CoV-2-Lebendimpfstoffs in Form eines Nasensprays haben. Unser Ziel ist es, die Produktion schnell zu skalieren und die klinische Prüfung für den Marktzugang voranzutreiben und allen Menschen Schutz vor COVID-Symptomen zu bieten. Wir sehen auf dem Markt ein großes Potenzial für saisonale nasale Impfstoffe“, sagt Dr. Vladimir Cmiljanovic, CEO von RocketVax.
Welche Nasen-Impfung am Ende am besten schützt, wird die Zukunft zeigen. Die Hersteller der in Indien und China entwickelten intranasalen Adenovirus-Impfstoffe haben in Europa bislang keine Zulassung beantragt. Fest steht nach Ansicht der Forschenden allerdings: Da sie als Nasenspray oder -tropfen verabreicht werden, sind nasale Impfstoffe grundsätzlich gut geeignet für einen Einsatz bei begrenztem Zugang zu geschultem medizinischem Personal. Auch sind sie kostengünstig in der Herstellung, einfach zu lagern und zu transportieren. Nicht zuletzt können Lebendimpfstoffe wie der hier eingesetzte nachweislich einen Kreuzschutz gegen verwandte Virenstämme und somit auch SARS-CoV-2-Varianten bieten.
Freie Universität Berlin, Max Delbrück Center und Charité – Universitätsmedizin Berlin
Originalpublikation:
Nouailles, G., Adler, J.M., Pennitz, P. et al. Live-attenuated vaccine sCPD9 elicits superior mucosal and systemic immunity to SARS-CoV-2 variants in hamsters. Nat Microbiol (2023). doi.org/10.1038/s41564-023-01352-8





